Nejde o nemoc jako takovou, ale o varovný signál, že nervový systém nebo krevní oběh nefungují tak, jak mají. Příčin přitom může být celá řada – od relativně neškodných stavů až po diagnózy, které mohou zásadně ovlivnit kvalitu i délku života. Níže přinášíme přehled nejčastějších onemocnění, u nichž se necitlivost prstů objevuje jako jeden z klíčových příznaků.
1. Artritida: když zánět kloubů bere prstům cit

Za necitlivostí a bolestí prstů může stát i artritida, tedy zánět jednoho či více kloubů. Typicky se projevuje bolestí, ztuhlostí a omezenou pohyblivostí v postižené oblasti. Pokud je zánětem postižen kloub v oblasti zápěstí nebo prstů, může dojít i k utlačování nervů, které tudy procházejí, a tím i k částečné ztrátě citu.
Artritida může mít různé podoby – od degenerativní (například u opotřebovaných kloubů ve vyšším věku) až po autoimunitní, kdy imunitní systém napadá vlastní tkáně. Včasná léčba přitom může výrazně zpomalit poškození kloubů a zmírnit doprovodné příznaky, mezi něž necitlivost často patří.
2. Syndrom karpálního tunelu: daň za práci s počítačem i monotónní pohyby

Jednou z nejznámějších příčin necitlivosti prstů je syndrom karpálního tunelu. V oblasti zápěstí se nachází úzký prostor, tzv. karpální tunel, tvořený zápěstními kostmi a pevným vazivovým pruhem. Právě tudy prochází středový nerv, který zajišťuje citlivost části ruky a prstů.
Jakmile v tomto prostoru dojde k otokům či zúžení – typicky v důsledku přetěžování ruky, opakovaných pohybů, ale i hormonálních změn – nerv se začne dráždit. To se projevuje nejprve brněním a necitlivostí prstů, zejména v noci nebo při práci, později může dojít i k oslabení úchopu a vypadávání předmětů z ruky. Neléčený syndrom karpálního tunelu může vést k trvalému poškození nervu.
3. Diabetes 1. a 2. typu: cukrovka tiše poškozuje nervy

U diabetiků patří necitlivost prstů a končetin mezi časté dlouhodobé komplikace. Vysoká hladina glukózy v krvi postupně poškozuje drobné cévy i nervová vlákna. Tento stav se označuje jako diabetická neuropatie.
Takové poškození nervů se navenek projevuje právě parestéziemi – brněním, pálením a necitlivostí, nejčastěji na nohách a prstech u nohou, později i na rukou. Nebezpečí spočívá v tom, že člověk kvůli ztrátě citu nemusí včas zaznamenat poranění nebo infekci, což u diabetiků může vést až k nehojícím se ranám a závažným komplikacím.
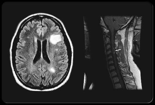
4. Skleróza multiplex: autoimunitní útok na nervový systém

Skleróza multiplex, známá také jako roztroušená skleróza, je závažné autoimunitní onemocnění, při němž imunitní systém napadá ochranný obal nervových vláken (myelin) v mozku a míše. Tento proces, nazývaný demyelinizace, narušuje schopnost nervů přenášet signály.
Výsledkem mohou být velmi rozmanité příznaky – od poruch zraku přes problémy s koordinací až právě po necitelnost, brnění či slabost končetin. Postižené oblasti nervového systému přestávají správně fungovat a části těla mohou reagovat opožděně, nebo dokonce vůbec. I když jde o nevyléčitelné onemocnění, moderní léčba dokáže průběh výrazně zpomalit, a proto je včasné rozpoznání příznaků klíčové.
5. Periferní neuropatie: když selhávají nervy mimo mozek a míchu

Pod pojmem periferní neuropatie se skrývá porucha funkce nervů, které se nacházejí mimo mozek a míchu. Může vzniknout v důsledku cukrovky, nedostatku vitamínů, toxických látek, ale i po úrazech či infekcích.
Typickým znakem je, že necitlivost a brnění jsou často symetrické – postihují obě ruce nebo obě nohy zároveň. Lidé popisují pocity „ponožek“ nebo „rukavic“, jako by měli končetiny zabalené a necítili je tak jako dříve. Kromě znecitlivění se může objevit i bolest, pálení nebo poruchy rovnováhy. Ignorování těchto příznaků může vést k dalšímu zhoršování stavu nervů.
6. Periferní arteriální onemocnění: zúžené tepny, studené a necitlivé končetiny

Periferní arteriální onemocnění je stav, kdy dochází k zúžení nebo ucpávání tepen zásobujících končetiny krví. Příčinou je hromadění aterosklerotických plátů na stěnách cév. Výsledkem je zhoršené prokrvení, což se může navenek projevit studenými, bledými a necitlivými prsty.
Mezi hlavní rizikové faktory patří vysoký cholesterol, cukrovka, vysoký krevní tlak, obezita a nedostatek pohybu. Postižený člověk může pociťovat bolest nebo křeče v nohách při chůzi, později i v klidu. Necitlivost prstů je tak někdy prvním náznakem, že cévy už nefungují tak, jak by měly, a že srdce a oběhový systém jsou ve vážném ohrožení.
7. Stlačení nervu: skrytý viník bolestí zad i necitlivých rukou

Necitlivost prstů může vzniknout i tehdy, když je periferní nerv vystaven nadměrnému tlaku. Tento stav se často pojí s chronickou bolestí zad, tzv. lumbagem, nebo s potížemi v oblasti krční páteře (cervikální syndrom). Vyhřezlá ploténka, svalový spasmus či změny na obratlích mohou nerv utlačovat a narušit jeho funkci.
Výsledkem jsou pak různé neurologické projevy – od bolesti vystřelující do končetin až po brnění a ztrátu citu v prstech. Včasná diagnostika (například pomocí zobrazovacích metod) je zásadní, protože dlouhodobý tlak může nerv trvale poškodit a obtíže pak nemusí být plně vratné.
8. Raynaudův syndrom: prsty mění barvu a ztrácejí cit

Raynaudův syndrom je onemocnění, které se výrazně projevuje na vzhledu i pocitech v prstech rukou a nohou. Typické jsou výrazné změny barvy kůže – nejprve prsty zbělají, následně mohou zmodrat a poté zčervenat. Tento cyklus často spouští vystavení chladu nebo stresu.
Příčinou jsou opakované křeče drobných krevních cév, které na čas omezí průtok krve do prstů. Během těchto epizod lidé často popisují necitelnost, brnění a bolest. Ačkoli Raynaudův syndrom nemusí vždy znamenat vážné ohrožení zdraví, může být spojen i s jinými onemocněními pojivové tkáně či autoimunitními chorobami, a proto by se neměl podceňovat.
Kdy zpozornět a vyhledat lékaře
Necitlivost prstů na rukou nebo nohou se může objevit i po nepohodlném sezení či přeležení končetiny – v takových případech většinou rychle odezní. Pokud se ale brnění a ztráta citu vracejí, zhoršují nebo přetrvávají delší dobu, je na místě odborné vyšetření. Stejně tak by měl člověk okamžitě vyhledat pomoc, pokud se necitlivost objeví náhle a je spojena s dalšími příznaky, jako jsou poruchy řeči, pokles koutku úst nebo slabost jedné strany těla – může jít o příznak mozkové mrtvice.
Necitlivost prstů není jen drobná nepříjemnost. Často je to první a někdy jediný signál, že se v těle odehrává něco, co by rozhodně nemělo zůstat bez povšimnutí.






